top of page

Cancilico medizinisches Branding
Kommunikationsdesign
Cancilico
Kunde
cancilico
Produkt
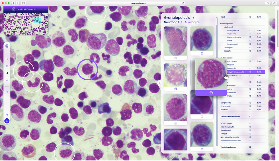
cancilico hat eine browserbasierte Software mit künstlicher Intelligenz programmiert, zum schnelleren Analysieren von Blutproben, auf Krebszellen.
Aufgabe
Logoüberarbeitung, Coporoate Design, Bildwelt, Webdesign
Cancilico ist ein Hämatopathologie-Unternehmen, das es sich zur Aufgabe gemacht hat, modernste KI in Kranken-häuser, Labore und Unternehmen zu bringen.


30%
In der Blutkrebsdiagnostik berichten Krebszentren von Abweichungsraten von bis zu ~30% zwischen der ersten und der zweiten Diagnose.




Alternative Entwürfe



bottom of page






